В 2023 году у 1,5 тысячи кузбассовцев обнаружен туберкулёз
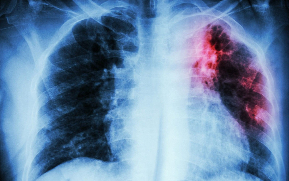
За 2023 год туберкулезом в Кузбассе заболели почти 1,5 тысяч человек По данным Роспотребнадзора, за 11 месяцев прошлого года с поставленным диагнозом «туберкулёз» в медучреждения региона попали 1428 человек.
За 2023 год туберкулезом в Кузбассе заболели почти 1,5 тысяч человек По данным Роспотребнадзора, за 11 месяцев прошлого года с поставленным диагнозом «туберкулёз» в медучреждения региона попали 1428 человек.
В основном опасным вирусом заболевали взрослые люди. Зафиксированы и случаи, когда инфекцией заразились дети до 14 лет. Их оказалось 43. Почти 25% попали в больницу в возрасте с 15 до 17 лет (статистика составлялась исходя из заболевших, у которых обнаружили поражение легких впервые).
Что касается территорий, где было выявлено больше всего заболевших с начала 2023 года - лидером по заболеваемости стал Кемерово, где зафиксировали 318 случаев. На вторую строчку попал Новокузнецк с 245 заболевшими. Закрыл тройку антилидеров Прокопьевск, где выявили 96 случаев заражения.
Последние новости

В России решили регулировать прием в вузы на платное обучение
Скоро. Председатель Совета Федерации Валентина Матвиенко и сенаторы подписали законопроект о государственном регулировании платного приема в вузы, который скоро будет внесен в Госдуму.

Компенсация морального вреда и имущественный ущерб за смерть питомца
Заводским районным судом г. Новокузнецка рассмотрено гражданское дело по иску Б. о взыскании с ответчика А.
Сегодня, 4 апреля, мысковчане активно вышли на Всекузбасский субботник, посвященный 80-летию Победы в Великой Отечественной войне
Этот день собрал людей разных возрастов и профессий, объединенных общей целью — сделать родной город чище и красивее.
Герои‑невидимки: 10 мест, где вы сталкиваетесь со стойками СОН ежедневно
Железобетонные стойки СОН окружают нас повсюду — даже если мы не знаем, что это они